Sector 51
Sector 74
Technology
About Us
Doctor Team
Center for Dental Implants & Esthetics Gurgaon · Since 2017
Sector 51
#166, Ambedkar Chowk, near Artemis Hospital, Gurgaon
Sector 74
R1-257, 2nd Floor, M3M Cornerwalk, Gurugram
10 AM – 8 PM · All Days
Menu
Call WhatsApp Book
Worn and broken teeth requiring full mouth reconstruction

Advanced Restorative Dentistry

Full Mouth Reconstruction in Gurgaon
Not Full Mouth Implants

A comprehensive dental treatment to rebuild worn, broken or collapsed teeth and restore your bite, chewing ability and facial balance — without removing all teeth.

Serving patients across Gurgaon

In simple words: Full Mouth Reconstruction is done when most teeth are still present but damaged, worn, painful or not working together properly. It focuses on rebuilding teeth with crowns, bite correction and supporting treatments — not implants.

Problem Recognition

Do you need Full Mouth Reconstruction?

Many patients searching for “full mouth implants” actually need this treatment instead.

🦷

Teeth worn or flat

  • Teeth look shorter than before
  • Edges look flat or chipped
  • Common due to grinding or ageing
  • Chewing efficiency reduces
⚠️

Multiple broken teeth

  • Repeated fractures or fillings breaking
  • Weak tooth structure
  • Difficulty biting hard foods
  • Often mistaken as implant requirement
😬

Poor chewing ability

  • Food not grinding properly
  • Jaw tired while eating
  • Uneven bite pressure
  • Leads to digestive issues
🧠

Jaw pain or headaches

  • Pain while opening or closing mouth
  • Morning headaches
  • Bite imbalance (occlusion problem)
  • Needs bite correction, not implants
📉

Collapsed bite

  • Lower face looks shorter
  • Lips appear sunken
  • Ageing facial appearance
  • Loss of vertical height of teeth
🔁

Multiple failed crowns

  • Old caps causing discomfort
  • Food lodgement below crowns
  • Loose or leaking restorations
  • Needs full-mouth planning
Important: If most of your teeth are still present but not functioning properly together, Full Mouth Reconstruction is usually the correct treatment — not full mouth dental implants.

Most Common Confusion

Full Mouth Reconstruction vs Full Mouth Dental Implants

These two treatments are not the same. Choosing the wrong one leads to unnecessary tooth removal, higher cost, and longer recovery.

🦷

Full Mouth Reconstruction

Best suited when most teeth are still present but damaged, worn, broken, painful, or not working together.

Focuses on rebuilding teeth using crowns, bridges, bite correction and supportive treatments.

Teeth are saved and strengthened, not removed.

🔩

Full Mouth Dental Implants

Required when most teeth are already missing, severely loose, or not salvageable.

Involves removal of remaining teeth and placing implants in the jawbone.

Longer healing time and higher overall cost.

Simple rule: If you still have most of your natural teeth — even if they are worn or broken — you usually need Full Mouth Reconstruction, not implants.

Not sure which one you need?

Many patients searching for “full mouth implants” actually need reconstruction. But if your teeth are mostly missing or unsalvageable, implants may be the right choice.

👉 If you have already lost most of your teeth or have been told your teeth can’t be saved:

Visit Full Mouth Dental Implants Page →

A proper clinical evaluation is the only way to decide correctly.

Clinical Foundation

Why Crowns & Bite Decide the Success of
Full Mouth Reconstruction

Full Mouth Reconstruction is not about “covering teeth”. It is about rebuilding how your teeth meet, move, and function together.

🧭

Crowns restore lost tooth height

Worn or flat teeth reduce the vertical height of your face. Properly planned crowns rebuild this lost height and bring the jaw back to a natural, comfortable position.

⚖️

Bite balance prevents future damage

If the bite is not evenly balanced, new teeth will break, gums will recede, and jaw joints start hurting. Bite correction is the backbone of long-lasting results.

🔄

Wrong crowns create new problems

Poorly designed crowns can cause headaches, jaw pain, loose teeth, food lodgement, and repeated failures. Full mouth cases cannot be treated tooth-by-tooth.

🛡️

Crowns protect weak teeth long-term

Teeth that are cracked, treated with RCT, or heavily filled need full coverage to survive everyday chewing forces. Crowns act as protective helmets for natural teeth.

Full Mouth Reconstruction succeeds only when crowns are designed as part of the entire mouth — not as individual caps. This planning requires prosthodontic training.

Why a Prosthodontist Leads Full Mouth Reconstruction

Prosthodontists specialize in restoring bite, jaw relation, crown design, and full-mouth harmony. In complex reconstructions, they plan how every tooth will function together before a single crown is made.

This is why Full Mouth Reconstruction at Center for Dental Implants & Esthetics is led by a Prosthodontist — not as an option, but as a necessity.

Treatment Investment

Cost of Full Mouth Reconstruction in Gurgaon

Full Mouth Reconstruction is a customized, multi-step medical treatment. The cost depends on what your teeth actually need — not on a fixed package.

Root Canal Treatment (only if needed)

Teeth with deep infection or old fillings may need RCT before crowning. Many teeth do not require RCT.

₹6,500 + ₹600 (old / blocked canals)

Dental Crowns (with warranty)

Crowns form the foundation of Full Mouth Reconstruction. Type and placement depend on function and esthetics.

  • PFM Crowns: ₹8,500 onward
  • Back Zirconia Crowns: ₹11,500
  • Front Layered Zirconia: ₹13,500

All crowns are fabricated in US-FDA approved labs. Warranty valid across India.

Supporting Treatments (if required)

Some patients may need additional procedures to ensure long-term success and comfort.

  • Gum treatment / deep cleaning
  • Bite splints or night guard
  • Crown lengthening (select cases)
  • Replacement of old failed crowns
Important to understand:
Full Mouth Reconstruction is priced only after a detailed clinical examination, bite analysis, and treatment planning. This avoids unnecessary procedures and protects healthy teeth.

What to Expect

Full Mouth Reconstruction: Step-by-Step Treatment Timeline

Full Mouth Reconstruction is carefully planned and done in stages. Each step is designed to protect your teeth and ensure long-term comfort.

1

Comprehensive Evaluation & Planning

Your dentist examines teeth, gums, jaw joints, and bite. Digital X-rays, scans, photographs, and bite records are taken to understand how your mouth functions as a whole.

2

Stabilization & Pre-treatment (if needed)

Infected teeth are treated, gums are stabilized, and bite splints may be given in some cases. This step ensures a healthy foundation before reconstruction.

3

Tooth Preparation & Temporary Teeth

Teeth that need crowns are prepared. Temporary teeth are placed so you can eat, speak, and test how the new bite feels in daily life.

4

Bite Adjustment & Trial Phase

Bite, comfort, speech, and appearance are carefully evaluated. Adjustments are made during this stage so that final teeth are accurate and problem-free.

5

Final Crowns & Reconstruction

Once comfort and bite are confirmed, final crowns are fabricated and placed. This step completes the reconstruction phase.

6

Follow-up & Maintenance

Follow-up visits ensure gums remain healthy, bite stays stable, and crowns perform well. Regular check-ups protect your long-term results.

A common concern during Full Mouth Reconstruction is whether every tooth will need a root canal or crown. In reality, treatment decisions are made tooth by tooth, based on vitality tests, bite forces, and long-term prognosis. We explain this decision process clearly here:

How we decide RCT, crowns, or no treatment →

Real Patient Journeys

Full Mouth Reconstruction —
Two Very Different Cases

No two mouths are the same. These real cases show why Full Mouth Reconstruction must be carefully planned — not rushed or based on assumptions.

This young patient had almost all teeth worn down due to a faulty bite. She was advised elsewhere to undergo root canal treatment on all teeth followed by crowns.

However, after detailed bite measurements, jaw analysis, and mock planning, it was clear that most teeth were healthy but over-worn. Root canal treatment was required only for 2–3 teeth.

The remaining teeth were carefully reshaped, tested for sensitivity, and protected using precisely designed crowns — avoiding unnecessary procedures.

This decision is possible only after bite analysis and prosthodontic planning — not by looking at X-rays alone.

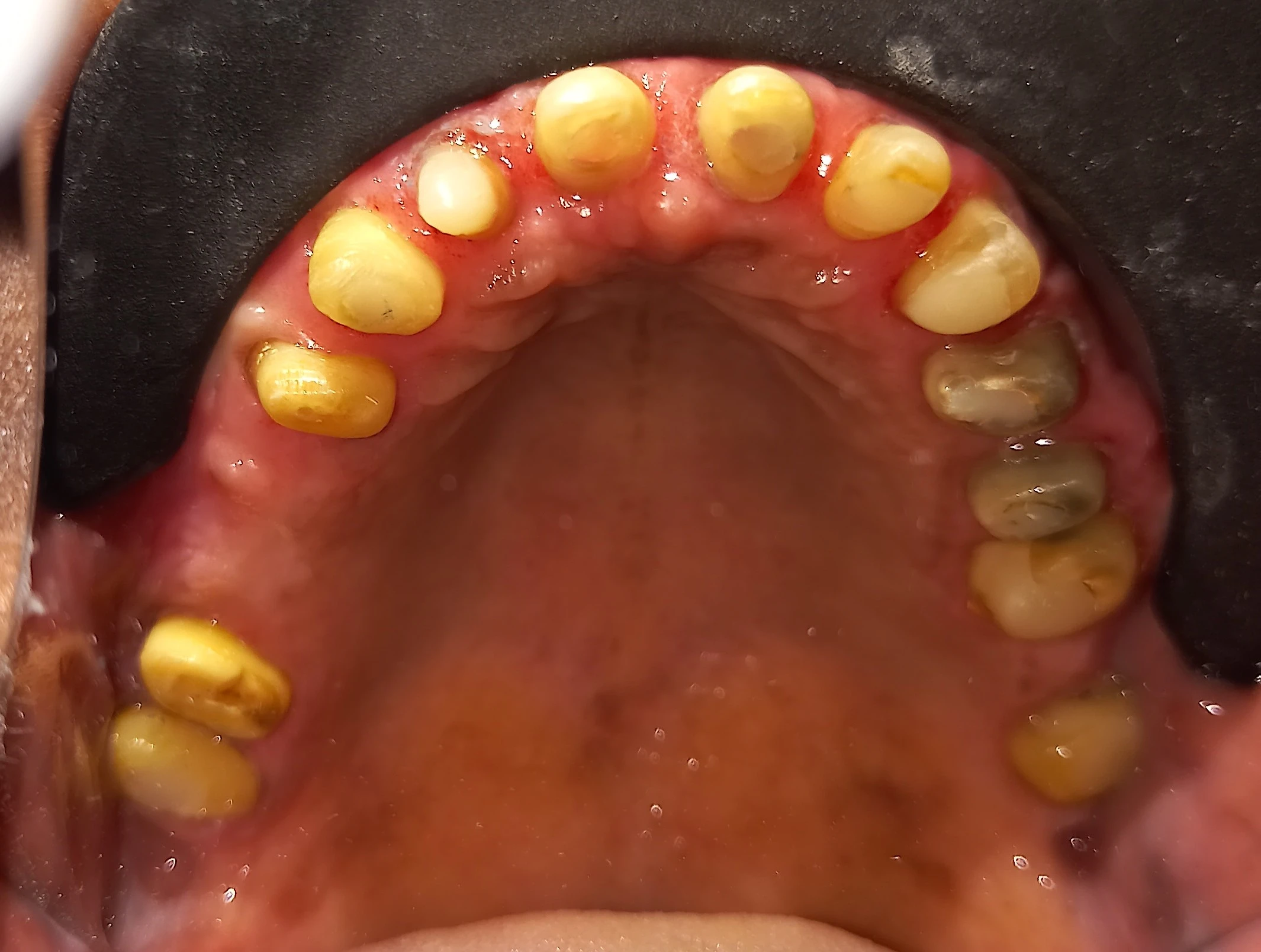
Worn teeth due to faulty bite before treatment
Before treatment: severely worn teeth due to faulty bite
Bite measurement and analysis
Bite measurement and planning stage
Temporary mockup during reconstruction
Temporary teeth to test comfort and bite
Final crowns after full mouth reconstruction
Final crowns restoring function and esthetics
🎥 Doctor Explainer Video

Dr. Jyoti explains treatment planning & RCT decision logic

This elderly patient had been chewing supari for many years. Over time, her teeth wore down unevenly, her bite collapsed, and chewing food became extremely difficult.

Facial height reduced, jaw position changed, and daily eating became tiring and uncomfortable.

A gentle, step-by-step Full Mouth Reconstruction plan was created to restore bite height, improve chewing efficiency, and stabilize remaining teeth — without aggressive surgery.

Age is never the deciding factor. Planning, precision, and comfort are.

Collapsed bite due to supari chewing
Before: collapsed bite and difficulty in eating
Completely worn out teeth
Completely worn out teeth
Teeth shaping during Full Mouth Reconstruction
Teeth shaping during Full Mouth Reconstruction
Trial teeth during reconstruction
Trial teeth used to restore bite height
After full mouth reconstruction
After: improved chewing comfort and balance
🎥 Doctor Explainer Video

Dr. Jyoti explains reconstruction in elderly patients

Patient Questions

Frequently Asked Questions

Honest answers to common questions patients ask before starting full mouth reconstruction.

Full Mouth Reconstruction is a planned dental treatment that restores worn, broken or poorly functioning teeth across the entire mouth. It focuses on bite correction, chewing comfort and tooth protection — usually without removing natural teeth.

The procedure is performed under local anesthesia. Most discomfort is temporary and related to bite adaptation, not pain. Patients usually manage well with simple aftercare.

No. Root canal treatment is required only for infected or painful teeth. Healthy but worn teeth can often be protected with crowns without RCT after proper testing and bite planning.

Treatment duration varies from a few weeks to a few months. This includes planning, temporary teeth, bite trials and final crowns. Rushing the process increases failure risk.

If most natural teeth are present, reconstruction is usually preferred because it preserves teeth, avoids surgery and costs less. Implants are needed only when teeth cannot be saved.

Yes, when planned correctly. Patients experience improved chewing, speech, comfort and facial balance, and reduced risk of future tooth damage.

Next Step

Get a Proper Evaluation Before Deciding Treatment

Full Mouth Reconstruction needs careful planning. A short consultation can tell you whether your teeth can be saved or if another option is required.

Center for Dental Implants & Esthetics

Sector 51, Gurgaon

#166, Sector 51, (Ambedkar Chowk),
Close to Artemis Hospital,
Gurgaon, Haryana 122003
📍 View on Google Maps

Center for Dental Implants & Esthetics

Sector 74, Gurgaon

R1-257, 2nd Floor,
M3M Cornerwalk Mall,
Sector 74, Gurugram, Haryana 122004
📍 View on Google Maps