Sector 51
Sector 74
Technology
About Us
Doctor Team
Center for Dental Implants & Esthetics Gurgaon · Since 2017
Sector 51
#166, Ambedkar Chowk, near Artemis Hospital, Gurgaon
Sector 74
R1-257, 2nd Floor, M3M Cornerwalk, Gurugram
10 AM – 8 PM · All Days
Menu
Call WhatsApp Book

Dental Care • Gurgaon

Tooth Wear Treatment in Gurgaon

Teeth getting shorter, flat or sensitive? Tooth wear is common, often ignored, and completely treatable when diagnosed early

Teeth are meant to last lifetime. But many people slowly lose tooth structure without realising it. This condition called tooth wear

Tooth wear usually happens without cavities and without pain in beginning. If ignored, it can damage your bite, chewing ability, and even facial appearance

What Is Tooth Wear?

Tooth wear means gradual loss of natural tooth structure. It happens slowly and often goes unnoticed until teeth start breaking or chewing becomes uncomfortable

Tooth wear can affect only few teeth or all teeth together. When many teeth involved, treatment must be carefully planned

Common Signs You Should Watch For

👁️

Shorter Teeth

Teeth looking shorter than before

Sensitivity

Pain with hot or cold food

💔

Chipped Edges

Broken or rough tooth edges

🍽️

Chewing Problem

Difficulty chewing food properly

😣

Jaw Pain

Facial tiredness or headaches

📏

Flat Surface

Smooth chewing surfaces on teeth

If several of these symptoms present, tooth wear is likely progressing and needs evaluation

What Causes Tooth Wear in Adults?

Tooth wear usually has more than one cause. Common reasons include:

⚠️

Faulty Bite – Uneven Pressure

When teeth don’t meet properly, some teeth take more force during chewing. This extra pressure wears down those teeth faster

Many people have faulty bite without knowing it until damage becomes visible

😴

Teeth Grinding During Sleep

Grinding teeth at night is very common. Most people don’t even know they’re doing it

Stress, anxiety, and sleep problems can make grinding worse. Your family may hear grinding sound at night

🍋

Acid Erosion from Diet

Soft drinks, lemon water, pickles and acidic foods slowly dissolve tooth surface

Acid reflux disease also brings stomach acid into mouth which damages teeth

🚫

Supari or Tobacco Chewing

Very common habit in India. Hard substances wear down teeth quickly

Also causes gum disease and increases cancer risk

👴

Ageing with Bad Habits

Some tooth wear is natural with age. But when combined with grinding or acidic diet, wear becomes excessive

People over 40 should be extra careful about protecting their teeth

⚠️ Important: Treating tooth wear without correcting the cause often leads to failure. We must find root cause first

Is Tooth Wear Serious Problem?

Early tooth wear is manageable with simple treatment. Advanced tooth wear can lead to broken teeth, bite collapse, jaw pain, and facial changes

Early diagnosis helps save teeth and reduces need for complex treatment later. Prevention is always better and cheaper than cure

Early Stage

✓ Simple monitoring

✓ Habit correction

✓ Night guard protection

Late Stage

✗ Multiple crowns needed

✗ Bite correction required

✗ Higher cost and time

How We Treat Tooth Wear

Treatment depends on severity, number of teeth involved, bite condition, and your habits

1

Monitoring & Habit Correction

For mild cases, we track wear and help you stop harmful habits

2

Night Guards or Bite Splints

Custom-made guard protects teeth during grinding

3

Selective Tooth Reshaping

Sometimes we need to adjust bite by careful reshaping

4

Dental Crowns for Protection

Crowns cover and protect severely worn teeth

5

Bite Correction

Complete bite adjustment for long-term stability

When You Need Full Mouth Reconstruction

Full Mouth Reconstruction required when many teeth are worn, bite height reduced, chewing uncomfortable, or crowns needed across mouth

In such cases, restoring individual teeth is not enough. The entire bite must be rebuilt together for proper function

Learn About Full Mouth Reconstruction in Gurgaon →

Why Bite Analysis Critical in Treatment

Teeth work as system, not individual units. Without bite analysis, crowns and fillings may fail early and you’ll need redo treatment

Proper bite planning helps avoid unnecessary root canal treatment and ensures long-term comfort. This is what separates good treatment from excellent treatment

Prosthodontist-Led Care

Why Tooth Wear Is a Prosthodontist Case —
Not General Dentistry

When tooth wear affects multiple teeth, the problem is not limited to individual teeth. It becomes a bite and jaw relationship problem. This is where Prosthodontics plays a critical role

A general dentist is trained to restore single teeth — fillings, single crowns, or routine procedures. But in advanced tooth wear, treating teeth one by one without understanding the bite often leads to:

Repeated crown breakage
Persistent sensitivity or pain
Worsening jaw joint discomfort
Short-term results that fail over time
💡

This happens because the root cause is the bite, not just the visible tooth damage

Why a Prosthodontist Is Essential in Tooth Wear

A Prosthodontist is specially trained to:

🔍

Bite Analysis

Analyse bite and jaw movements in detail

📏

Vertical Dimension

Restore lost tooth height properly

🎯

System Planning

Plan crowns across multiple teeth as one system

🦷

Conservative Care

Decide when root canal is truly required — and when it is not

⚖️

Long-Term Balance

Balance function, comfort, and durability

🔗

Holistic Approach

Focus on how all teeth work together

This is why advanced tooth wear is considered a classic Full Mouth Reconstruction case when multiple teeth are involved

Treatment planning is led by Dr. Jyoti Singh, Prosthodontist with 17+ years of experience in bite rehabilitation and full-mouth cases

Patient Questions

Common Questions About Tooth Wear Treatment in Gurgaon

Honest answers to questions patients ask before starting tooth wear treatment

Look for these signs: teeth appearing shorter than before, flat chewing surfaces, sensitivity to hot or cold, chipped edges, or difficulty chewing. If family members say your teeth look different, get evaluated

Many patients in Gurgaon discover tooth wear during routine check-ups because early stages have no pain

Treatment is done under local anesthesia, so you feel no pain during procedure. After treatment, mild sensitivity for few days is normal as your bite adjusts

At our Gurgaon clinic, we focus on comfortable treatment with proper planning to avoid unnecessary procedures

Not necessarily. Root canal is needed only when tooth nerve is damaged or infected. Many worn teeth can be restored with crowns without root canal if bite is planned properly

Conservative approach means saving tooth nerve whenever possible. Proper bite analysis helps avoid unnecessary root canal treatment

Cost varies based on how many teeth need treatment and whether full mouth reconstruction is needed. Simple cases with few teeth cost less than complex full mouth cases

Exact cost discussed after clinical examination and bite analysis. Early treatment usually costs less than waiting until teeth break

Simple cases with few teeth take 2-3 weeks. Complex full mouth reconstruction cases take 2-4 months including planning, temporary crowns, bite trials and final crowns

Rushing treatment increases failure risk. Proper planning and bite adjustment take time but ensure long-lasting results

Yes. Properly done tooth wear treatment restores chewing ability and comfort. Many patients report they can eat foods they avoided for years

Bite adjustment is key part of treatment. Without proper bite, crowns may break or feel uncomfortable

Tooth wear involving multiple teeth is complex bite problem, not just damaged teeth. Prosthodontist is specially trained to analyse bite, plan treatment across entire mouth, and restore function

General dentist treats individual teeth. Prosthodontist treats how all teeth work together as system. This difference is critical in tooth wear cases

If root cause corrected and habits controlled, treatment results last long. Night guard recommended for grinders to protect crowns

Without addressing cause like grinding or faulty bite, even best treatment can fail. This is why diagnosis and planning are important

When Should You Get Evaluated?

If your teeth look shorter, feel sensitive, or chewing feels uncomfortable, early evaluation can save teeth and reduce treatment cost

Attrited Teeth Treatment in Gurgaon

Case Study (Gurgaon Patient): A Journey from Pain to a Perfect Smile

The Patient’s Struggle

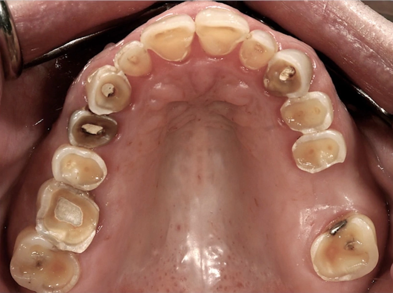
Mr. Sharma (60) visited our sector 51 clinic in Gurgaon, unable to eat the foods he loved. Decades of stress and severe tooth wear had left his teeth short and sensitive.

He suffered from chronic TMJ pain because his bite had collapsed. The “vertical height” of his face had shortened, causing an uneven bite that made chewing impossible.

Severe tooth wear showing exposed dentin
Fig 1: Initial assessment revealing severe attrition and “cupped” surfaces.

The Diagnosis: Rehabilitation Over Implants

He was previously advised to extract his teeth for Dental Implants. However, his roots were sturdy. We proposed a Full Mouth Rehabilitation.

This saved his natural teeth using Root Canal Treatment (RCT) where necessary and restoring structure with Zirconia Crowns.

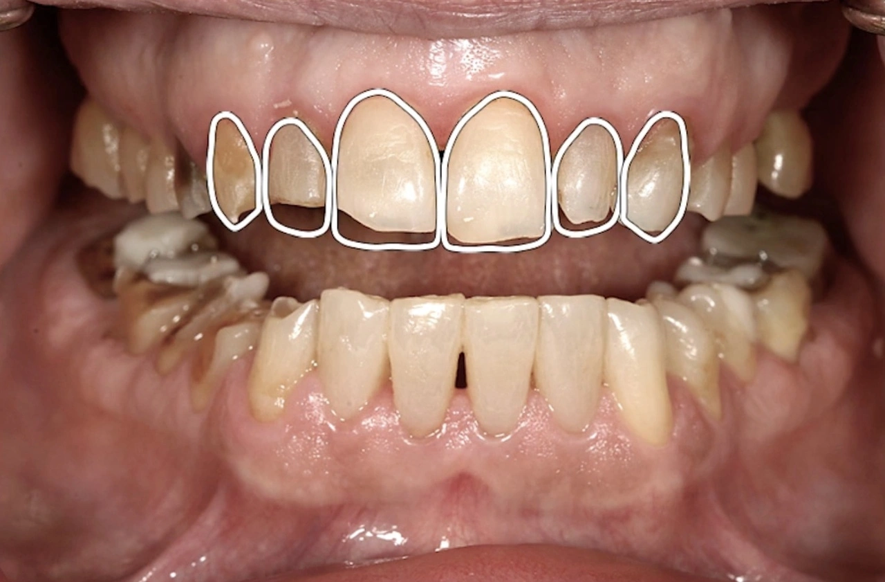
Digital smile design planning
Fig 2: Digital planning showing the ideal tooth length (white lines).

Precision Digital Planning

We utilized 3D Intraoral Scanning to map his occlusion. This allowed us to calculate exactly how much to “raise the bite” to relieve his TMJ pain.

By restoring the vertical dimension digitally first, we ensured the new jaw position would be comfortable before touching a single tooth.

3D Intraoral scan of uneven bite
Fig 3: 3D Scan used to analyze bite alignment accurately.

The Transformation

The patient’s “short teeth” were replaced with anatomically correct crowns. Most importantly, the uneven lower bite was corrected.

The patient reported a complete cessation of jaw pain within weeks. He can now smile and eat with full confidence.

Final rehabilitation result
Fig 4: Final result with restored bite height and aesthetics.

Not every worn or sensitive tooth needs a root canal or a crown. In complex cases, the most important step is deciding which teeth need treatment and which can be safely preserved. We explain this clinical decision-making clearly in our detailed guide: How we decide RCT, crowns, or no treatment at all .