Clear Aligner Cost in Gurgaon
Confused by ₹25,000 ads and ₹2 lakh quotes? Here is the real cost explained.
₹35,000 to ₹1,35,000 depending on how much your teeth need to move. We offer medically supervised clear aligner treatment at our two modern clinics in Sector 51 (near Artemis Hospital) & Sector 74 (M3M Cornerwalk SPR Road), Gurgaon. Safe planning, steady progress, and clear results for every smile.
Diplomate WCOI
Clear Aligner Pricing in Gurgaon (2026)
We treat patients at our Sector 51 (near Artemis Hospital) and Sector 74 (M3M Cornerwalk) clinics. Your final cost depends on how much your teeth need to move. Minor cases finish in 3–4 months. Complex bite corrections may need 12–18 months. Every plan includes dentist supervision, 3D planning and all follow-up visits.
- Minor crowding or small gaps
- No bite correction needed
- 3D Smile Preview included
- Dentist check every 4–6 weeks
- Most affordable plan
- Moderate crowding or spacing
- IPR if needed — no extra cost
- One refinement batch included
- Monthly progress reviews
- Best balance of cost and results
- Complex crowding or bite issues
- Overbite, underbite, crossbite correction
- Attachments + multiple refinements
- Advanced 3D treatment planning
- Full follow-up support included
Most Patients in Gurgaon Choose EMI.
See Your Monthly Payment in 10 Seconds.
Cost should never stop you from fixing your smile. Our 0% interest EMI means you start with just 40% and pay the rest slowly — no bank, no interest, no stress. Over 60% of our aligner patients in Gurgaon choose this option.
- 01 Pay 40% on day one as initial payment
- 02 Remaining 60% in 4 easy EMIs (15% each month)
- 03 You pay exactly the treatment cost — no interest, no hidden fees
- 04 Works for all plan types — Express, Moderate, Comprehensive
- 05 Available at both Sector 51 and Sector 74 Gurgaon clinics
Aligner EMI Calculator
Why Does Clear Aligner Cost Vary So Much?
Many patients come to us confused. They see prices from ₹25,000 to ₹2,00,000 online and have no idea what to believe. Here are the 5 real reasons aligner pricing changes — so you can make an informed decision.
How Much Your Teeth Need to Move
- Small front-teeth adjustments need fewer trays and cost less
- Larger movements, rotations and crowding need more trays
- Every extra tray increases lab cost and treatment time
IPR and Attachments
- IPR = tiny polishing between teeth to create space (painless)
- Attachments = small tooth-coloured bumps that guide movement
- Complex cases need more of these — cost increases slightly
Bite Correction Needed
- Overbite, underbite, crossbite all need advanced planning
- These movements take more time and more trays to correct
- Bite issues cannot be fixed with at-home aligner kits
Refinement Trays Required
- Most cases need one refinement batch for perfect finishing
- This ensures the result matches your original 3D plan
- More refinements = slightly higher cost
Aligner Brand Selected
- Invisalign uses the most advanced software and plastic material
- Indian brands like Flash, 32 Watts offer affordable results
- Your movement needs — not the brand name — should drive the choice
Dentist Supervision Quality
- At-home kits skip dentist checks — teeth can move the wrong way
- Clinic supervision protects your gums, roots and bone
- Good supervision is the biggest factor in long-term success
At Center for Dental Implants & Esthetics, we help you choose the most cost-effective plan without over-treatment. Dr. Jyoti Singh (MDS, Prosthodontics) personally reviews each 3D scan before treatment begins. Every rupee is accounted for — no surprises.
See complete aligner treatment details →Which Plan Matches Your Smile?
These are real-life case types we treat at our Sector 51 and Sector 74 clinics. Use them to understand which pricing range is likely for you — before your 3D scan visit.
Spacing & Gap Cases
Small Spacing Between Front Teeth
- Single gap or mild spacing between teeth
- No bite correction needed
- 8–15 aligners
- Done in 4–5 months
Multiple Gaps Across the Arch
- Gaps present on upper and/or lower teeth
- IPR may be needed to redistribute space
- 16–28 aligners
- Done in 6–9 months
Large or Widespread Spacing + Bite Issues
- Large diastema or spacing across multiple teeth
- Attachments and bite correction needed
- 30–40+ aligners + refinement trays
- 12–16 months
Crowding & Malocclusion Cases
Slight Overlap on Front Teeth
- Mild misalignment — mostly front teeth
- No bite problems or jaw issues
- 10–18 aligners
- Done in 4–6 months
Overlapping Teeth — Most Common Adult Case
- Teeth overlapping due to lack of space
- IPR needed on 4–6 teeth
- 18–28 aligners
- Done in 6–9 months
Heavy Crowding + Bite Correction Needed
- Overbite, underbite or crossbite correction required
- Attachments on multiple teeth + advanced planning
- 30–40+ aligners + multiple refinement batches
- 12–18 months
These are general estimates. Your exact cost is confirmed only after a 3D scan and digital treatment plan. Most adults in Gurgaon — especially those from DLF, Golf Course Road and Cyber City — fall under the Moderate Plan.
Book Free 3D Smile Scan →Toothsi vs Clinic-Supervised Aligners
This is one of the most common questions we hear from patients in Gurgaon. Here is an honest comparison so you can decide what is right for your teeth.
| Factor | Toothsi / At-Home Aligners | Center for Dental Implants & Esthetics (Clinic) |
|---|---|---|
| Who does the scan? | — Trained technician, not a dentist | ✓ MDS dentist with 3D digital scanner |
| IPR (polishing between teeth) | ✗ Not done | ✓ Done by trained dentist — included in cost |
| Attachments | ✗ Not placed | ✓ Placed when needed, included |
| Bite correction | ✗ Not possible | ✓ Overbite, underbite, crossbite all treatable |
| Monthly dentist checks | ✗ Online only, no physical review | ✓ In-clinic check every 4–6 weeks |
| Suitable for complex cases | ✗ Only mild front-teeth movement | ✓ Mild, moderate and complex cases |
| Refinements | — Slower process, limited options | ✓ Included in plan, done in-clinic |
| Risk to gum health | ✗ We regularly treat patients who come after failed at-home aligner attempts | ✓ Supervised movement protects your gums, roots and bone throughout |
At-home aligner kits can work for very simple front-teeth gaps. But for anything involving crowding, bite issues or multiple teeth — dentist supervision is not optional, it is essential. Unsupervised tooth movement can damage your gum line and bone. We have treated patients who came to us after a failed at-home aligner experience.
Read more: Clear Aligners in Gurgaon — Full Guide
Clear Aligner Brands Available in Gurgaon
We work with both international and Indian aligner brands. The brand is chosen based on your tooth movements, case complexity and 3D planning requirements — not based on price alone.
Premium International Brands
- Invisalign (Align Technology, USA)
- 3M Clarity Aligners (select cases)
- ClearCorrect by Straumann (limited availability)
Trusted Indian Aligner Brands
- Flash Aligners
- 32 Watts Aligners
- Illusion Aligners
- Whistle Aligners (by Clove Dental)
- Smile Aligners (smilealigners.in)
- Toothsi / makeO Aligners
- Odonto Clear Aligners
- Snazzy Aligners
- Dr. Smile Aligners
- K Line Aligners
- CAT Aligners (Clear Aligner Technology)
Brands No Longer Active in India
- KiyoClear (shut down)
- Apollo Aligners (paused)
- SmileDirectClub (global shutdown 2023)
- ClearCorrect India (major operations paused)
What Is Included in Your Aligner Package
No hidden charges. No separate bills for each step. Every plan at Center for Dental Implants & Esthetics includes complete dentist supervision and everything your smile needs.
- Digital scan of your teeth
- Shows expected movement
- Estimates tray count and timeline
- 3D planning by MDS dentist
- Explains your case clearly
- Brand selected based on movement
- Tiny polishing to create space
- Safe and painless
- No extra charge
- Tooth-coloured guides for movement
- Placed by trained dentist
- Included in all plans
- Full set per your plan
- Delivered in batches
- No hidden limits
- Required for most cases
- Ensures final result matches plan
- Included inside the package
- Regular progress reviews
- Both Gurgaon clinics available
- Emergency visits included
- Guidance on retainer options
- Keeps your smile stable long-term
- Retainer cost separate (₹6,500–7,500)
Clear aligner treatment is a complete doctor-led system — not just plastic trays. Planning, monitoring and refinements are what separate a good result from a great one.
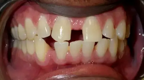
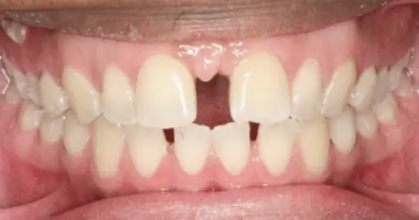
Book Free 3D Smile Scan →Real Clear Aligner Results From Gurgaon
These are examples of advanced correction cases. Mild spacing or crowding cases often finish in just 4–6 months.






Have a simpler case? You could be done in 4–6 months.
Check My Treatment Time →Clear Aligner Cost — FAQs
How much do clear aligners cost in Gurgaon in 2025–26?
Most cases fall between ₹35,000 and ₹1,35,000. Simple front-teeth gaps start at ₹35,000. Moderate crowding cases are usually ₹65,000–85,000. Complex bite correction with attachments and refinements can reach ₹95,000–1,35,000. Your exact cost is confirmed only after a 3D Smile Scan at our Sector 51 or Sector 74 Gurgaon clinic.
Why does the best clear aligners price in Gurgaon vary so much?
The number of trays, type of tooth movement, refinement cycles, and aligner brand all affect cost. A case needing 10 trays costs far less than one needing 40. Clinics that include supervision, IPR, attachments and refinements in the price give far better value than those that charge separately for each step. Always ask what is included before you compare prices.
Is the 3D Smile Scan free at your Gurgaon clinic?
Yes. The 3D Smile Scan is free. A ₹500 registration fee secures your appointment slot and is fully adjusted into your treatment cost — valid for 3 months. Available at both our Sector 51 (near Artemis Hospital) and Sector 74 (M3M Cornerwalk) clinics in Gurgaon.
What is included in the clear aligner treatment cost?
All our plans include: 3D scan and digital treatment planning, IPR if needed, attachments if needed, all aligner trays, one refinement batch, monthly dentist check-ups at both clinics, and emergency visit support. There are no surprise charges after you start. Everything is explained clearly at your scan appointment.
What are the EMI options for clear aligners in Gurgaon?
We offer 0% interest EMI. You pay 40% as downpayment and the remaining 60% in 4 equal monthly instalments — no interest, no hidden fees. Additional zero-cost EMI is available via BrightPay, GMoney and SaveIN. Credit and debit card EMI also accepted at both clinics. Use the EMI calculator on this page to see your exact schedule.
Invisalign price in Gurgaon — is it worth the higher cost?
Invisalign uses patented SmartTrack material and ClinCheck 3D software — the most precise system available globally. It is the best choice for complex bite corrections, difficult rotations and cases needing many refinements. For mild to moderate crowding, quality Indian brands deliver comparable results at much lower cost. Dr. Jyoti Singh is Invisalign Certified and will give you an honest recommendation on whether Invisalign is actually needed for your case.
Toothsi aligners cost in Gurgaon — how does it compare to clinic treatment?
Toothsi (now makeO) is a direct-to-consumer brand suitable for simple front-teeth movement. They do not include IPR, attachments or in-person dentist monitoring. This increases risk for moderate and complex cases — teeth can move incorrectly without supervision. At our clinic, you get similar aligner material with full dentist oversight, IPR, attachments and monthly reviews — which gives safer and more predictable results for most adults in Gurgaon.
Whistle aligners Gurgaon cost — what is the inaugral discount?
Whistle Aligners is a premium multi-layer Indian aligner brand backed by Clove Dental’s clinical network. We are among the first clinics in Gurgaon to offer it. As a launch offer, we are running a 20% inaugral discount on Whistle Aligner treatment — visit our Whistle Aligners Gurgaon page to know more and claim the discount before it ends.
Illusion aligners price in Gurgaon — what makes them different?
Illusion Aligners use AI-based iMODIFY planning software and biocompatibility-certified iTRACK aligner sheets. They are a dentist-directed brand — cannot be done at home — and are well-suited for mild to moderate crowding and spacing. Pricing at our Gurgaon clinic starts from ₹50,000 depending on case complexity. See our Illusion Aligners Gurgaon page for full details.
Clear aligners vs braces cost comparison in Gurgaon — which is cheaper?
Traditional metal braces in Gurgaon cost ₹25,000–50,000. Ceramic braces cost ₹40,000–70,000. Clear aligners start at ₹35,000 for simple cases. For mild to moderate cases, aligners and braces are similar in price. For complex cases, braces can be cheaper. The choice should be based on lifestyle, aesthetics and case complexity — not price alone. We treat both at our clinics and will give you an honest comparison.
Do clear aligners hurt?
There is mild pressure for 2–3 days each time you switch to a new tray. This is a normal sign the aligners are working. It is much less uncomfortable than traditional metal braces. Most patients need no pain relief. You adjust quickly, usually within the first week of starting treatment.
Will teeth shift back after clear aligner treatment?
Yes — without retainers, teeth will slowly shift back. This is true for all orthodontic treatment, not just aligners. Night retainers are required long-term after treatment ends. At our Gurgaon clinics, standard retainers cost ₹6,500 and appliance-cum-retainers cost ₹7,500. Retainers protect everything your aligner treatment achieved.
How long does clear aligner treatment take in Gurgaon?
Mild spacing or crowding: 4–6 months. Moderate crowding: 6–9 months. Complex bite correction: 12–18 months. The most important factor is patient compliance — aligners must be worn 20–22 hours per day. Wearing them less slows treatment and can affect final results. We track progress at monthly check-ups at both our Sector 51 and Sector 74 clinics.
Top Aligner Brands in Gurgaon We Offer
Many patients search for a specific aligner brand before visiting us. Here is honest, quick information on each — so you can come prepared. All brands available at our Sector 51 and Sector 74 Gurgaon clinics.
- •World’s most trusted aligner brand since 1997
- •Patented SmartTrack material
- •Best for complex bite correction & rotations
- •Dr. Jyoti Singh is Invisalign Certified
- •Manufactured using US-FDA approved German technology
- •High-precision 3D printed aligners
- •Good for mild to moderate cases
- •Dr. Jyoti Singh is Smile Aligners trained
- •AI-based iMODIFY treatment planning software
- •Biocompatibility-certified iTRACK aligner sheets
- •Strictly dentist-directed — not an at-home brand
- •Best for mild to moderate crowding & spacing
- •India’s fastest-growing premium aligner brand
- •Delivered in under 2 weeks — faster than global brands
- •Suits mild to complex cases
- •One of the first clinics in Gurgaon to offer it
20% Inaugral Discount — Limited Period Only.
- •One of India’s first aligner companies, founded 2010
- •4K 3D printing with 100-micron accuracy
- •All plans designed by MDS orthodontists
- •Reliable for mid-complexity cases
- •One of India’s most marketed aligner brands
- •US-FDA 510(k) cleared aligner sheets
- •Suitable for mild front-teeth corrections
- •We add full dentist supervision — safer results
You May Also Want to Read
Complete Guide to Clear Aligners in Gurgaon
Everything about how clear aligners work, the treatment process, candidacy, what to expect at each stage, and how we plan your case at both our Gurgaon clinics.
Read the Full Aligner Guide →Invisalign Treatment in Gurgaon — Is It Worth the Cost?
Invisalign is the premium aligner brand. We explain what makes it different, when it is the right choice, and when an Indian brand gives the same result at lower cost.
Invisalign vs Other Aligners →Orthodontic Retainers — Why You Must Not Skip Them
After aligners, retainers are what keep your teeth in their new position. Learn about types, cost, and how long you need to wear them after your aligner treatment ends.
Retainer Guide After Aligners →Patients Come From All Over Gurgaon & Delhi for Clear Aligners
We see patients from every corner of Gurgaon and nearby South Delhi areas. People choose us for honest advice, proper dentist supervision and transparent pricing — not just because we are close by.
Gurgaon Areas We Serve
How Far Are Our Clinics?
| Location | To Sector 51 Clinic | To Sector 74 Clinic |
|---|---|---|
| South City 1 | 3 km (8 min) | 12 km (22 min) |
| Golf Course Road | 5 km (12 min) | 10 km (18 min) |
| DLF Phase 1–3 | 4 km (10 min) | 13 km (24 min) |
| Sohna Road | 8 km (16 min) | 5 km (10 min) |
| Dwarka Expressway | 14 km (26 min) | 3 km (7 min) |
| Nirvana Country | 2 km (5 min) | 13 km (24 min) |
| Vatika Chowk | 11 km (20 min) | 2 km (5 min) |
Patients Also Visit from South Delhi
Disclaimer: This page is for informational purposes only and does not replace professional dental consultation. Symptoms described may have multiple causes. Please visit a qualified dental professional for diagnosis and personalised treatment advice. Pricing mentioned is indicative and subject to change based on individual case assessment.