Sector 51
Sector 74
Technology
About Us
Doctor Team
Center for Dental Implants & Esthetics Gurgaon · Since 2017
Sector 51
#166, Ambedkar Chowk, near Artemis Hospital, Gurgaon
Sector 74
R1-257, 2nd Floor, M3M Cornerwalk, Gurugram
10 AM – 8 PM · All Days
Menu
Call WhatsApp Book
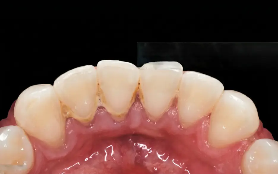
Professional teeth scaling treatment in Gurgaon

Professional Dental Care

Teeth Scaling in Gurgaon.
Painless. Professional.

Ultrasonic teeth cleaning in Gurgaon that removes years of tartar buildup. Advanced dental scaling technology. From ₹1,800.

Available at Sector 51 & Sector 74, Gurgaon

In brief: Professional ultrasonic scaling removes hardened tartar and plaque that brushing can’t reach. It stops bleeding gums, eliminates bad breath, and prevents gum disease. Safe, painless dental cleaning with local spray anesthesia.

Problem Recognition

Do you need teeth scaling?

If you’re experiencing any of these signs, professional teeth cleaning can help.

🩸

Bleeding gums

  • Gums bleed when brushing or flossing
  • First sign of tartar buildup below gum line
  • Teeth scaling for gum disease removes deposits
  • Eliminates inflammation-causing bacteria
😷

Persistent bad breath

  • Chronic halitosis that won’t go away
  • Caused by bacteria in hardened plaque
  • Teeth scaling for bad breath eliminates bacteria
  • Destroys bacterial colonies at source
🦷

Yellow or stained teeth

  • Surface stains from tea, coffee, tobacco
  • Regular brushing can’t remove deep stains
  • Professional teeth cleaning removes stains
  • Scaling and polishing restores brightness

Dark line near gums

  • Hard, brown or black deposits at gum line
  • Calcified tartar (calculus) buildup
  • Only ultrasonic scaling can remove it
  • Cannot be brushed away at home
❄️

Gum sensitivity

  • Discomfort when eating hot or cold foods
  • Often caused by gum recession
  • Deep cleaning teeth helps restore gum health
  • Removes tartar causing recession
🔴

Swollen or red gums

  • Inflamed gum tissue around teeth
  • Early stage of gingivitis
  • Plaque removal through professional scaling
  • Reverses condition before it worsens
Why ultrasonic scaling works: Studies show ultrasonic teeth scaling is 70% more effective at removing deep tartar compared to manual hand scaling. The ultrasonic dental scaler uses high-frequency vibrations to break down hardened deposits without damaging tooth enamel.

Don’t wait until it gets worse

Untreated tartar leads to:

  • Periodontitis (advanced gum disease requiring deep cleaning)
  • Bone loss around teeth
  • Tooth mobility and eventual tooth loss
  • Increased risk of heart disease and diabetes complications

Early intervention with regular teeth scaling prevents these serious conditions.

Transparent Pricing

Choose based on your condition

Your teeth condition determines which teeth cleaning treatment you need. Our hygienist will assess and recommend the appropriate cleaning level. Know the teeth scaling cost in Gurgaon upfront.

Mild Tartar - Light deposits, minor staining

Basic Spot Cleaning

₹1,800
⏱️ 20-25 minutes
Mild Tartar & Spots
  • Light tartar removal (spot cleaning)
  • Single jaw cleaning
  • Surface stain cleaning
  • Local spray anesthesia if needed
  • Oral hygiene guidance
  • Perfect for regular maintenance
Equipment Used
Ultrasonic Scaler
Heavy Tartar/Stains - Deep staining, heavy deposits

Laser Deep Cleaning

₹3,800
⏱️ 60-75 minutes
Heavy Stains (Tea/Coffee/Tobacco)
  • Deep stain removal
  • Laser-assisted cleaning
  • Air polishing technology
  • Sub-gingival cleaning
  • Local spray anesthesia included
  • Comprehensive oral exam
  • For heavy tobacco/coffee users
Equipment Used
Ultrasonic Scaler Stain Remover Air Polisher Laser Technology
⚠️ Special Note for Tobacco Users: All tobacco users undergoing deep cleaning are checked for oral lesions and issues related to tobacco consumption. Early detection saves lives.

Average teeth cleaning cost in Gurgaon: ₹1,499 – ₹2,000 (market research). Our pricing is transparent and competitive for professional ultrasonic teeth cleaning.

Understanding Treatments

Scaling vs Cleaning vs Whitening

People often confuse these dental treatments. Here’s what each one does and when you need it.

Treatment
What It Does
When You Need It
Cost Range
Scaling
Removes hardened tartar (calculus) from teeth and below gum line
Bleeding gums, tartar buildup, gum disease prevention
₹1,800 – ₹3,500
Polishing
Removes surface stains and smooths teeth after scaling
Done with scaling, removes coffee/tea stains
₹500 – ₹600
Whitening
Changes actual tooth color (bleaching enamel)
Cosmetic enhancement after healthy teeth confirmed
₹8,000+
Key difference: Teeth cleaning and scaling remove what’s ON your teeth (tartar, stains). Whitening changes the color OF your teeth. Always get professional teeth cleaning before considering whitening.

The Process

What happens during ultrasonic teeth scaling?

Modern teeth scaling technology makes the process comfortable and efficient. Here’s exactly what happens during your appointment.

1

Initial Examination

Hygienist checks your gums and measures pocket depths. Visual inspection of tartar buildup and gum health. Takes 3-5 minutes.

2

Local Spray Anesthesia

We apply local spray anesthesia to sensitive areas. Ensures painless teeth scaling throughout the procedure. Optional but recommended for comfort.

3

Ultrasonic Scaling

The ultrasonic dental scaler uses high-frequency vibrations to break down tartar. Water spray flushes away debris. Removes deposits above and below gum line without damaging enamel.

4

Hand Scaling (Fine Detailing)

Hygienist uses manual instruments for areas requiring delicate touch. Ensures complete removal from tight spaces between teeth.

5

Professional Polishing

Hygienist polishes teeth with specialized paste and rubber cup. Smooths tooth surfaces to slow future tartar buildup. Removes surface stains for brighter appearance.

6

Oral Hygiene Education

Detailed home-care instructions and brushing technique demonstration. Explanation of why tartar formed and how to prevent recurrence. Personalized care plan.

Aftercare

Post-scaling care instructions

After your safe teeth cleaning, you may experience mild irritation or sensitivity. Here’s what to expect and how to care for your teeth.

What’s Normal

  • Mild gum sensitivity for 24-48 hours
  • Slight bleeding when brushing (first 1-2 days)
  • Temporary sensitivity to hot or cold
  • Teeth may feel “different” or smoother

Restrictions (First 24 Hours)

  • Avoid very hot foods and beverages
  • Skip hard, crunchy foods (chips, nuts)
  • No alcohol or tobacco use
  • Avoid heavily staining foods (tea, coffee, red wine)

Care Instructions

  • Brush gently with soft-bristled toothbrush
  • Rinse with lukewarm salt water 2-3 times daily
  • Continue regular flossing after 24 hours
  • Use prescribed mouthwash if given
  • Stay hydrated to promote healing
  • Contact clinic if pain persists beyond 48 hours

Audience Targeting

Who should get teeth scaling?

Certain groups benefit especially from regular professional teeth cleaning. If you fall into any of these categories, preventive dental care with scaling is essential.

🚬

Smokers & Tobacco Users

  • Tobacco accelerates tartar formation
  • Causes deep staining and discoloration
  • Teeth scaling for smokers Gurgaon every 3-4 months recommended
  • Oral lesion screening during deep cleaning
  • Higher risk of gum disease
🩺

Diabetes Patients

  • Diabetes affects gum health and healing
  • Higher risk of periodontal disease
  • Regular scaling prevents complications
  • Part of comprehensive preventive dental care Gurgaon
  • Blood sugar control improves with gum health
🦷

People with Braces

  • Orthodontic appliances make cleaning difficult
  • Tartar builds faster around brackets
  • Pediatric teeth cleaning Gurgaon for teenagers
  • Every 4-6 months recommended during treatment
  • Prevents white spots and decay around braces
👴

Elderly Patients

  • Aging reduces saliva production
  • Faster plaque buildup occurs naturally
  • Geriatric dental care Gurgaon with gentle scaling
  • Prevents tooth loss in senior years
  • Maintains oral health and quality of life
🤰

Pregnant Women

  • Hormonal changes increase gum sensitivity
  • Pregnancy gingivitis is common
  • Safe routine scaling during pregnancy
  • Second trimester is ideal timing
  • Prevents pregnancy-related gum problems

Heavy Tea/Coffee Drinkers

  • Daily consumption causes stubborn staining
  • Accelerated plaque buildup from beverages
  • Professional teeth cleaning Gurgaon removes deep stains
  • Keeps teeth healthy and bright
  • Regular maintenance prevents permanent discoloration

Quick Answer: Is scaling safe during pregnancy?

Yes. Routine teeth scaling is completely safe during pregnancy. We use local spray anesthesia and avoid certain medications. Always inform us if you are pregnant. The second trimester (months 4-6) is the ideal time for dental cleaning.

⚠️ Why Some People Need Scaling Again and Again

Special Cases Requiring Frequent Scaling:

🦷

Crooked or Crowded Teeth

  • Difficult to clean with regular brushing
  • Tartar builds in hard-to-reach areas
  • Need scaling every 3-4 months
  • Orthodontic treatment may help long-term
  • Professional cleaning essential until alignment corrected
🔴

Gum Disease (Periodontitis)

  • Chronic condition requiring ongoing care
  • Deep pockets harbor bacteria constantly
  • 6 month dental cleaning Gurgaon or more frequent
  • Active disease needs quarterly maintenance
  • Prevents tooth loss from bone damage
🚬

Tobacco Users

  • Accelerated tartar formation from smoking
  • Heavy staining requires deep cleaning
  • Nicotine reduces blood flow to gums
  • Regular teeth scaling Gurgaon every 3 months minimum
  • Higher periodontal disease risk
💧

Dry Mouth Conditions

  • Reduced saliva leads to faster plaque
  • Caused by medications or medical conditions
  • Saliva naturally cleans teeth—loss affects health
  • More frequent professional cleaning needed
  • Compensates for reduced natural cleaning
🩺

Diabetes

  • Affects gum health and healing capacity
  • Higher risk of periodontal disease
  • Part of overall diabetes management
  • Preventive dental care Gurgaon with frequent scaling
  • Two-way relationship between diabetes and gums
🧬

Genetic Predisposition

  • Some naturally produce more tartar
  • Family history of gum disease matters
  • Independent of hygiene habits
  • Annual dental checkup Gurgaon increased to quarterly
  • Cannot change genetics but can manage with care
Important: These cases require addressing the underlying issue for long-term improvement. Your hygienist will discuss if orthodontic treatment, medication adjustment, or other interventions might help reduce frequent scaling needs.

Your Care Team

Who will treat you

Our trained dental hygienist specializes in oral hygiene techniques and will perform your scaling treatment with expert care.

Your Dental Hygienist

Specialized in advanced oral hygiene techniques and modern teeth scaling technology Gurgaon. During your appointment, your hygienist will:

🔍

Assess Your Condition

Explain why tartar buildup occurred in your specific case and identify contributing factors

📚

Demonstrate Proper Technique

Show you the right brushing and flossing methods for your teeth alignment and gum condition

⚠️

Provide Risk Education

Explain what could worsen if left untreated and timeline of potential complications

🛡️

Prevention Guidance

Help you understand how to avoid repeated scaling needs through proper home care

Medical Supervision

Dr. Jyoti Singh, MDS

Prosthodontist & Implantologist

All treatments are supervised by Dr. Jyoti Singh (MDS), with 16+ years of experience and 10,000+ implants and full-mouth rehabilitation cases. MAIDS-trained specialist who insists on careful gum health checks before any implant or crown work—because healthy gums are the foundation of successful dental treatment.

Why this matters for scaling patients: A skilled implant dentist also understands gum disease progression and how scaling affects long-term implant success. Your gum health is evaluated with the same expertise we bring to complex cases.

Our Locations

Where we serve in Gurgaon

Teeth cleaning patients visit both clinics in Gurgaon. Mention your area when booking — we try to give local slots to nearby patients for convenient access to teeth scaling near me Gurgaon.

Sector 51

Near Artemis Hospital & Mayfield Garden/Nirvana Country

Perfect for residents of:

DLF Phase 1 DLF Phase 2 DLF Phase 3 DLF Phase 4 DLF Phase 5 Mayfield Garden Nirvana Country Ardee City Sushant Lok 1, 2, 3 Golf Course Road Near Artemis Hospital Sector 49 Sector 56 Sector 47 Sector 23 Sector 14 Sector 45

teeth scaling Sector 49 Gurgaon, dental clinic Sector 56 Gurgaon, teeth cleaning DLF Phase 4 Gurgaon, scaling Sushant Lok Gurgaon, best dental clinic Gurgaon near Golf Course Road

Book at Sector 51 →
Sector 74

M3M Cornerwalk Mall

Perfect for residents of:

Golf Course Extension Road Tulip Violet Tata Primanti DLF Alameda SPR Corridor M3M Cornerwalk Sector 74 Sector 75 Sector 76 NH8 Corridor Sector 69 Sector 90 Sector 65

teeth scaling clinic Gurgaon Golf Course Extension, dentist Sector 14 Gurgaon, teeth cleaning near me Gurgaon M3M Cornerwalk, dental scaling Gurgaon NH8

Book at Sector 74 →

Not sure which clinic is closer? Call us and we’ll help you choose the most convenient location. Both clinics offer the same high-quality ultrasonic teeth scaling Gurgaon services with identical equipment and pricing.

Common Questions

Frequently asked questions

Get answers to the most common questions about teeth scaling, dental cleaning, and what to expect during your appointment.

No. Modern painless teeth scaling Gurgaon uses ultrasonic technology and local spray anesthesia. Most patients feel only mild vibration during the procedure. We apply numbing spray to sensitive areas before starting, ensuring safe teeth cleaning Gurgaon with maximum comfort.

Some people experience slight sensitivity for 24-48 hours after scaling, but this is temporary and manageable with over-the-counter pain relief if needed.

No. Professional scaling removes deposits only, not enamel. Research shows scaling does NOT damage tooth enamel when performed correctly by trained hygienists.

The ultrasonic dental scaler Gurgaon uses high-frequency vibrations specifically calibrated to break down tartar without affecting healthy enamel. After scaling, polishing makes surfaces smooth and actually protects teeth by removing areas where bacteria can attach.

Every 6 months for most people with good oral hygiene. This is the standard recommendation for regular teeth scaling Gurgaon and preventive care.

More frequent scaling needed for:

  • Gum disease patients: Every 3-4 months
  • Smokers/tobacco users: Every 3-4 months
  • Diabetics: Every 4-6 months
  • People with braces: Every 4-6 months
  • Those with crooked teeth: Every 3-4 months

Your hygienist will recommend the right schedule for your specific condition during your annual dental checkup Gurgaon.

Basic spot cleaning: 20-25 minutes
Full mouth cleaning: 40-50 minutes
Deep cleaning with laser: 60-75 minutes

The duration depends on the amount of tartar buildup and whether you need basic or deep cleaning. Your hygienist will give you an accurate time estimate after the initial examination.

Yes, absolutely safe. Routine teeth scaling is completely safe during pregnancy and actually recommended to prevent pregnancy gingivitis.

Best timing: Second trimester (months 4-6) is ideal, though scaling can be done any time if needed. We use local spray anesthesia and avoid certain medications. Always inform us if you are pregnant so we can adjust the treatment accordingly.

Hormonal changes during pregnancy increase gum sensitivity and bleeding, making professional cleaning even more important for maternal and fetal health.

First 24 hours – Soft foods recommended:

  • Yogurt, smoothies, soft fruits
  • Mashed potatoes, soups, dal
  • Soft rice, khichdi
  • Room temperature or lukewarm foods

Avoid for 24 hours:

  • Very hot beverages (tea, coffee)
  • Hard, crunchy foods (chips, nuts)
  • Alcohol and tobacco
  • Heavily staining foods (red wine, dark sodas)

After 24 hours, you can resume your normal diet. The temporary restriction helps if gums feel tender after professional teeth cleaning Gurgaon.

Our transparent pricing:

  • Basic Spot Cleaning: ₹1,800 (20-25 minutes)
  • Full Mouth Cleaning: ₹2,500 (40-50 minutes) – Most popular
  • Laser Deep Cleaning: ₹3,500 (60-75 minutes) – For heavy stains

Average teeth cleaning cost Gurgaon: ₹1,499 – ₹2,000 (based on market research)

Our pricing is competitive for professional ultrasonic teeth cleaning Gurgaon with qualified hygienists and modern equipment. No hidden charges. Price includes anesthesia, polishing, and post-care instructions.

Scaling: Removes hardened tartar (calculus) from teeth and below gum line. Medical procedure for gum health. Cost: ₹1,800-₹3,500

Polishing: Removes surface stains and smooths teeth after scaling. Usually included with scaling. Creates shiny, smooth surface.

Whitening: Changes actual tooth color through bleaching. Cosmetic procedure done AFTER teeth are healthy. Cost: ₹8,000+

Key difference: Teeth cleaning and scaling remove what’s ON your teeth. Whitening changes the color OF your teeth. Always get professional teeth cleaning Gurgaon before considering whitening.

Choose Sector 51 clinic if you live in/near: DLF Phase 1-5, Mayfield Garden, Nirvana Country, Sushant Lok, Golf Course Road, Sector 49, 56, 47, near Artemis Hospital

Choose Sector 74 clinic if you live in/near: Golf Course Extension Road, Tulip Violet, Tata Primanti, M3M Cornerwalk, SPR Corridor, NH8, Sector 74, 75, 76, 23, 14, 45

Both clinics offer identical services, equipment, and pricing. We try to give local appointments to nearby residents for convenience. Call us if unsure which location is closer to you.

Yes, usually. We offer same day teeth cleaning Gurgaon appointments subject to availability. Call or book online to check current day slots.

For best availability, we recommend booking 2-3 days in advance. Walk-ins are accepted but may have waiting time depending on schedule. Both Sector 51 and Sector 74 clinics maintain flexible scheduling for quick teeth scaling Gurgaon needs.

Yes, but scaling is not whitening. After professional teeth cleaning Gurgaon, your teeth will look brighter because surface stains from tea, coffee, and tobacco are removed through polishing.

However, this reveals your natural tooth color. If you want teeth several shades whiter than your natural color, you need separate whitening treatment (₹8,000+) which can only be done AFTER scaling confirms your teeth and gums are healthy.

Many patients are satisfied with the brightness achieved from scaling and polishing alone, especially if done regularly every 6 months.

Yes, comprehensive oral health screening included. During your dental hygiene treatment Gurgaon appointment, our hygienist and supervising doctor check for:

  • Cavities and tooth decay
  • Gum disease severity and pocket depths
  • Oral lesions (especially for tobacco users)
  • Loose teeth or mobility issues
  • Signs of grinding or clenching
  • Overall oral health status

If any issues are found, you’ll receive a detailed explanation and treatment recommendations. This is part of our comprehensive oral health checkup Gurgaon approach.

Book your teeth scaling in Gurgaon

Same-day slots available. Expert hygienist-performed, gentle ultrasonic scaling at both Gurgaon clinics. Transparent pricing. Modern equipment. Comprehensive care.

📞 Not sure which location? Call us and we’ll help you choose the nearest clinic.