7 Signs Your Tooth Is
Telling You It Needs a Root Canal
Most people wait too long. By the time the pain is unbearable, the infection has spread. Know these signs early — and keep your tooth.
“Doctor, the pain went away on its own — so I thought it was fine.”
That disappearing pain is one of the most dangerous signs of a dying nerve. Here is what your tooth is actually trying to tell you.
- Inside every tooth is soft tissue called the pulp — nerves, blood vessels, and connective tissue
- When bacteria reach the pulp through a cavity or crack, infection sets in
- Root canal treatment removes the infected pulp and saves your tooth
- The real problem is not the treatment — it is the waiting
Signs You Need Root Canal Treatment — At a Glance
Root canal treatment has a success rate of over 95% when done correctly and followed up with a crown. (American Association of Endodontists, AAE)
Lingering hot/cold pain
Pain lasting 30+ seconds after removing hot or cold? Normal sensitivity fades in 2–3 seconds. This does not.
Sharp pain when biting
Pressure on the tooth triggers pain. The ligament around the root tip is inflamed — a sign infection has spread.
Tooth is turning dark
Grey, brown, or black tinge from inside the tooth. The pulp tissue is breaking down — a classic sign of nerve death.
Gum swelling near one tooth
Tender or puffy gum around a specific tooth — especially if it keeps coming back — points to an abscess.
Pus or bad taste in mouth
A small pimple on the gum (fistula) means your body is draining a tooth infection. This is a dental emergency.
Toothache at night for no reason
Spontaneous, unprovoked aching — especially lying down — when nothing is touching the tooth at all.
The pain already “went away”
If severe pain suddenly stopped, the nerve may have died. The infection is still there — spreading silently.
Early Signs of Tooth Nerve Infection — Catch It Before It Gets Serious
Most patients come to us after weeks of mild symptoms they dismissed. These quieter early signs appear long before the severe throbbing begins.
-
01
A dull, occasional ache in one tooth Not severe, but it keeps coming back — on biting something hard, or for no clear reason. This is early pulp irritation.
-
02
New sensitivity that was not there before You used to drink cold water without thinking. Now one tooth reacts. New sensitivity on a previously comfortable tooth should be investigated.
-
03
Tooth that feels slightly “off” when biting You cannot describe it exactly — but something feels different on that side. This subtle biting discomfort is often the first sign of root tip inflammation.
-
04
Gum that looks slightly redder near one tooth No major swelling yet, but the gum near one tooth is tender to touch. This early gum response often appears weeks before a full abscess.
-
05
Recent large filling or crown on that tooth Deep restorations can disturb the pulp. Any tooth with significant dental work in the last 6–18 months that now shows sensitivity should be evaluated.
Many patients arrive at our Sector 51 and Sector 74 clinics with symptoms they have had for 2–3 months. By that point, infection has often spread past the root tip — making treatment more complex. Early diagnosis = simpler treatment + lower cost. See root canal cost in Gurgaon.
Tooth Pain That Stays After Hot or Cold — What Lingering Sensitivity Means
Normal sensitivity fades in 2–3 seconds. If your tooth aches for 30 seconds or more after you put the glass down, that is your pulp signalling it is inflamed beyond recovery. We call this irreversible pulpitis.
What does irreversible pulpitis feel like?
- Sharp, intense pain on drinking hot tea or cold water
- Pain does not stop when the stimulus is removed
- You start avoiding hot food, cold drinks, or ice cream
- Ache can radiate to the jaw or ear
- Gets worse at night (lying down increases pulp pressure)
- Hot sensitivity relieved by cold = near-certain sign of nerve death
- Brief cold pain (2–3 sec) → sensitivity, often reversible
- Lingering cold pain (30 sec+) → irreversible pulpitis, root canal needed
- Hot pain relieved by cold → pulp necrosis, urgent treatment
“It only hurts with cold — sensitivity toothpaste will fix it.”
Sensitivity toothpaste blocks exposed dentinal tubules. It cannot treat an infected or dying pulp. Prolonged sensitivity after hot or cold needs a dentist to assess pulp health — not a different toothpaste.
Tooth Pain When Biting or Chewing — Why It Happens
You bite into food and one tooth sends a sharp jolt. Or even pressing your finger on that tooth causes pain. This happens when infection has spread from the pulp through the root tip into the periodontal ligament — the thin tissue that holds your tooth in place. Once inflamed, any pressure hurts.
When is biting pain urgent?
- Pain on biting has lasted more than 3–4 days
- Even light touch — like brushing — causes sharp pain
- The tooth feels “raised” or different when biting
- You have started chewing only on one side
- Pain comes with any swelling at all
Biting pain lasting more than a few days — especially without recent trauma or a new filling — is almost always a sign of periapical infection around the root tip. This needs an X-ray within days, not weeks.
Tooth Turning Grey or Dark Brown — Internal Discoloration vs. Staining
If one tooth looks darker than its neighbours — grey, brownish, or almost black — the pulp inside is likely dying or already dead. As the nerve tissue breaks down, blood pigments stain the inner walls of the tooth from inside. No whitening treatment can fix this from the outside.
| Feature | Surface Staining (tea, tobacco) | Internal Discoloration (nerve death) |
|---|---|---|
| Which teeth? | Usually multiple | Usually one specific tooth |
| Colour | Yellow/brown on the surface | Grey or dark brown from inside |
| Removable by cleaning? | Yes | No |
| History of trauma or deep cavity? | Usually not | Often yes |
| Action needed | Scaling or whitening | Root canal + crown |
Always get a single dark tooth evaluated. A darkened tooth may not hurt at all once the nerve has died — but the infection continues silently underneath.
Swollen Gum Near One Tooth — Types of Dental Abscess Swelling
The gum near one tooth looks puffy or feels tender. Sometimes there is no pain — just visible swelling. This happens because bacterial infection leaks out through the root tip and your body sends immune cells to fight it. That battle shows up as swelling.
Types of swelling — know the difference
- Localised gum swelling — puffy tissue only around one tooth
- Facial swelling — cheek or jaw visibly swollen on one side — urgent, go today
- Tender lymph nodes — small lumps under the jaw or neck
- Swelling that keeps returning — puffs up, goes down, comes back
- Facial or jaw swelling alongside tooth pain
- Difficulty swallowing or opening your mouth
- High fever with a toothache
- Swelling spreading toward the neck
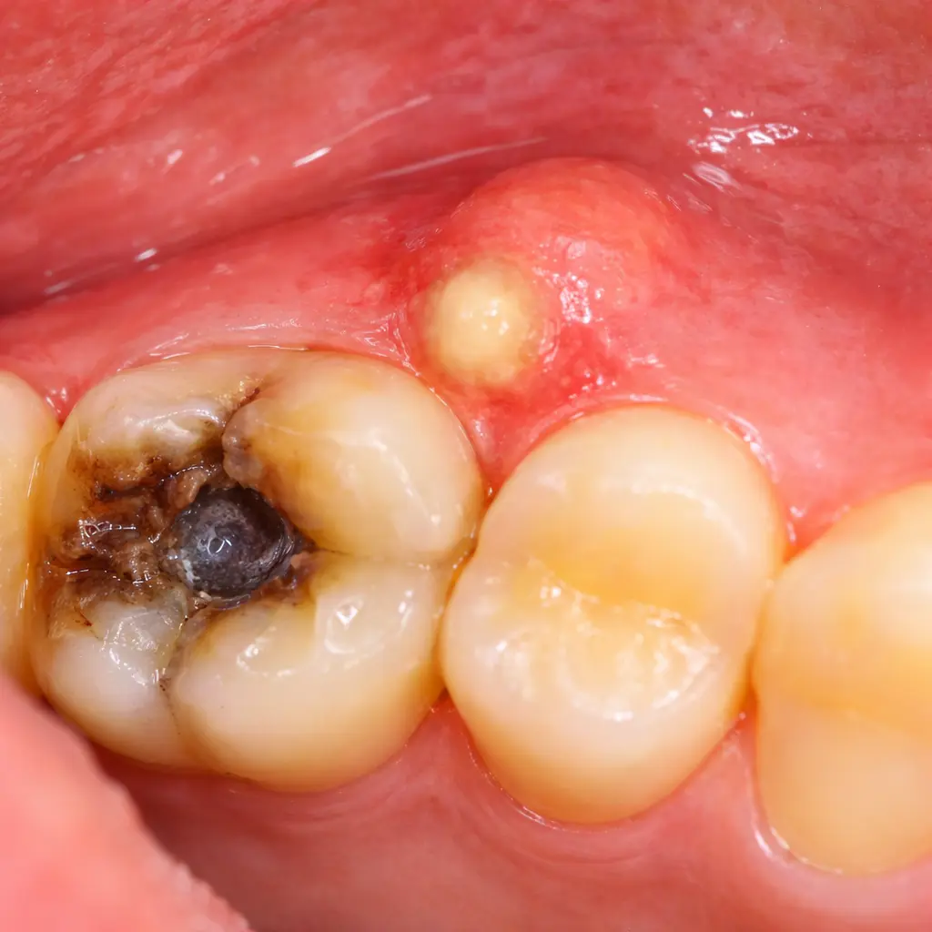
Pimple on the Gum, Bad Taste, or Pus — What a Dental Fistula Means
A small white or yellow bump on your gum near a specific tooth is called a dental fistula (or sinus tract). It is your body draining pus from a tooth abscess. When it drains, you may notice a bad taste or foul smell that appears and disappears.
“The pimple burst and the pain went away — I thought it healed by itself.”
The abscess drained, relieving pressure. The infection source inside the root is still active. Without root canal treatment, it will refill — often with more bone destruction each time.
- Antibiotics reduce the spread of infection — they cannot cure it
- Blood vessels that carry antibiotics are destroyed inside a dead tooth
- Only root canal treatment or extraction removes the actual source
- Source: British Endodontic Society, patient guidance on dental abscess, 2023
Spontaneous Toothache With No Trigger — Especially Severe at Night
You are sitting quietly, not eating, and a dull throb builds in one tooth. It gets worse when you lie down. Nothing seems to help — not paracetamol, not clove oil. This is spontaneous tooth pain and it is one of the most reliable signs of severe pulp inflammation.
Why does tooth pain get worse at night?
- Blood flow to the head increases when lying flat — raising pulp pressure
- No distractions, so the pain feels more intense
- Worst toothaches commonly happen between midnight and 4 AM
- No position or painkiller fully relieves it — the source is inside the sealed tooth
| Type of Pain | Likely Cause | Action Needed |
|---|---|---|
| Brief, sharp on cold (2–3 sec) | Mild sensitivity / reversible pulpitis | See dentist, may not need RCT |
| Lingering after hot/cold (30 sec+) | Irreversible pulpitis | Root canal likely needed |
| Spontaneous ache, no trigger | Advanced pulp inflammation or necrosis | Root canal — soon |
| Sharp pain on biting | Periapical infection / cracked tooth | Urgent dental evaluation |
| Pain that suddenly disappeared | Nerve death — infection still active | Root canal — do not delay |
If this sounds familiar, do not wait for another sleepless night. See root canal treatment cost in Gurgaon before your visit so there are no surprises.
Can a Tooth Infection Spread to the Body?
Yes — and this is the part most patients do not realise until it is serious. A tooth infection starts in the pulp but bacteria do not stay contained. Understanding the four stages helps you act before it becomes dangerous.
Pulp Infection — Inside the tooth
Bacteria reach the pulp through a cavity or crack. Best stage to treat. Root canal is straightforward and effective here. Symptoms: toothache, sensitivity, discoloration.
Periapical Abscess — Around the root tip
Infection exits through the root tip into the surrounding bone. A pus pocket forms. On X-ray, this shows as a dark shadow (periapical radiolucency) around the root tip. A gum fistula may appear.
Facial Cellulitis — Spread to cheek or jaw
Infection breaks through bone into the soft tissue of the face. Visible facial swelling appears. Requires same-day emergency dental care — do not wait overnight.
Deep Neck Infection or Sepsis — Life-threatening
In rare but documented cases, dental infections spread into the deep spaces of the neck (Ludwig’s Angina) or enter the bloodstream. This requires hospitalisation, IV antibiotics, and surgical drainage. The tooth is entirely preventable as a starting point.
On an X-ray: A tooth abscess appears as a dark shadow at the root tip — this dark area is destroyed bone. The larger the shadow, the longer the infection has been active. At our Gurgaon clinics, we use digital X-rays to measure bone involvement accurately. See how this affects treatment planning.
- Facial or neck swelling alongside tooth pain
- Difficulty opening your mouth or swallowing
- Difficulty breathing
- High fever (>38.5°C) with a toothache
- Feeling very unwell overall
If You Have These Signs — What Happens at the Clinic?
Here is exactly what we do at Center for Dental Implants & Esthetics, Gurgaon — so you know what to expect before you walk in.
Clinical Examination
We tap the tooth, test it with cold, and press the surrounding gum. These tests tell us if the pulp is alive, inflamed, or dead — in minutes.
Periapical X-Ray or CBCT
A targeted X-ray shows if infection has spread beyond the root tip. We use a strict CBCT imaging protocol for complex cases — giving us precise, 3D data to plan treatment accurately.
Honest Treatment Planning
We discuss saving the tooth via root canal treatment versus extraction. In over 90% of cases, a restorable tooth is worth saving. All costs shared upfront — no surprises.
Root Canal Treatment
Done under local anaesthesia — no pain during the procedure. We remove the infected pulp, clean the canals, and seal them. Most teeth take 1–2 visits of 45–60 minutes each.
Crown Placement
After root canal treatment, the tooth becomes brittle. A ceramic crown protects it and restores full strength and natural appearance.
“The patients hardest to treat are those who waited six months after the pain disappeared. By then, the bone loss is significant and a straightforward root canal has become a complex case. If your tooth hurts — get it checked early.”
Frequently Asked Questions
If pain lingers after hot or cold, aches on its own, or an X-ray shows a shadow at the root tip — root canal treatment is likely needed, not just a filling.
A filling treats cavities that have not yet reached the pulp (nerve). Once the infection reaches the pulp, a filling alone cannot fix it. A dentist can confirm within one visit using a cold test and X-ray.
The main signs of a tooth nerve infection are:
- Severe toothache that throbs on its own
- Sharp pain when biting or chewing
- Sensitivity to hot or cold lasting 30+ seconds
- Tooth turning grey, brown, or dark
- Swollen or tender gum near one tooth
- A pimple-like bump on the gum (fistula)
- Persistent bad taste or smell in the mouth
Some infected teeth — especially dead nerves — may cause no pain at all. An X-ray is essential to confirm the diagnosis.
Root canal treatment is done under local anaesthesia — you should feel no pain during the procedure. Most patients say it feels similar to getting a filling done.
Some tenderness around the treated tooth for 2–4 days after is normal. Over-the-counter ibuprofen typically manages this well. The pain from an untreated infected tooth is almost always far worse than any discomfort from the treatment itself.
Yes — in most cases. When severe tooth pain suddenly disappears, the pulp nerve has usually died. The pain source is gone, but the infection remains. Bacteria continue multiplying inside the dead pulp and spread silently into the surrounding bone.
An X-ray in this situation frequently shows a periapical abscess (bone infection at the root tip) even though the tooth feels fine. Delaying treatment leads to greater bone loss and more complex treatment.
No. Antibiotics can reduce the spread of infection and bring down swelling — but they cannot eliminate the source of the infection, which lives inside the dead pulp tissue.
Blood vessels that would carry antibiotics into the tooth have been destroyed by the infection itself. Only root canal treatment (removing the infected pulp) or extraction (removing the tooth) can fully resolve a tooth infection. Antibiotics are a support measure, not a cure.
Most root canals are completed in 1–2 visits of 45–90 minutes each.
- Single-rooted front teeth → often 1 visit
- Multi-rooted back teeth (molars) → usually 2 visits
- Crown placement → separate visit, usually 1–2 weeks later
Total time from first visit to final crown is typically 2–4 weeks.
The key difference is duration and trigger:
- Sensitivity → brief, sharp pain (1–2 seconds), stops immediately when stimulus is removed
- Root canal infection → pain lasts 30+ seconds, or aches spontaneously with no trigger
Sensitivity toothpaste addresses exposed dentinal tubules — it cannot treat pulp infection. If in doubt, a cold test and X-ray at a dental clinic in Gurgaon will give you a clear answer.
The infection will not disappear — it will progress in stages:
- Abscess grows and destroys surrounding bone
- Infection may spread to adjacent teeth and jawbone
- Facial swelling develops — may require hospitalisation
- Tooth becomes unrestorable and must be extracted
After extraction, the missing tooth creates its own problems — adjacent teeth shift, bone resorbs, and your options become a dental implant, bridge, or denture. Saving the natural tooth through root canal treatment is always the preferred outcome.
Yes — and in many cases, delaying a tooth infection during pregnancy is more dangerous than treating it.
Untreated dental infections cause systemic inflammation, which has been linked to preterm birth and low birth weight. (Source: Journal of Periodontology, 2023 review.) Root canal treatment under local anaesthesia (lidocaine) is considered safe in the second trimester. Always inform your dentist you are pregnant so the team can adjust X-ray positioning and medication selection.
Root canal treatment cost in Gurgaon typically ranges from ₹3,500 to ₹12,000 per tooth — depending on which tooth and complexity of the root anatomy.
- Front teeth (single root) → lower cost range
- Molars (multiple roots) → higher cost range
- Re-treatment of a previous root canal → may cost more
- Crown placement → additional cost
We share a full cost breakdown during consultation — before any treatment begins. See the detailed root canal cost guide here.
Is Your Tooth Trying to Tell You Something?
Do not wait for the pain to become unbearable. Early evaluation at Center for Dental Implants & Esthetics can save your tooth — and your peace of mind.
Center for Dental Implants & Esthetics — Sector 51
#166, Sector 51, (Ambedkar Chowk), Close to Artemis Hospital, Gurgaon, Haryana 122003
Center for Dental Implants & Esthetics — Sector 74
R1-257, 2nd Floor, M3M Cornerwalk, Sector 74, Gurugram, Haryana 122004
You May Also Want to Read
Is Root Canal Treatment Really Painful?
Most fear comes from outdated experiences. Find out what modern painless root canal treatment involves — and why patients often say “that was easier than I thought.”
Read: Painless Root Canal Treatment →Pain After Root Canal — Is It Normal?
Some discomfort after treatment is expected. How much is too much? When should you call your dentist? This guide answers every common concern about post-root canal recovery.
Read: Post-Root Canal Pain Guide →Root Canal Treatment Cost in Gurgaon
Transparent, up-to-date pricing at both our clinics — with a breakdown by tooth type and what to expect including crown placement cost.
Read: RCT Cost in Gurgaon →References & Sources
- American Association of Endodontists (AAE). Root Canal Treatment — What Patients Need to Know. www.aae.org/patients/root-canal-treatment/
- British Endodontic Society. Patient Information: Root Canal Infection. www.bsedentistry.org.uk/patients/
- Hargreaves KM, Berman LH. Cohen’s Pathways of the Pulp. 12th ed. Elsevier, 2021.
Disclaimer: This page is for informational purposes only and does not replace professional dental consultation. Symptoms described may have multiple causes. Please visit a qualified dental professional for diagnosis and personalised treatment advice.

Dr. Jyoti Singh (MDS), Diplomate WCOI (Japan region) Member AAID (American Association of Implant Dentistry) stands as a beacon of excellence in implantology within Delhi NCR region. She is a BDS and MDS(Prostho) both from Maulana Azad Institute of Dental Sciences, where she secured top honors with all India rank 1 in PG entrance examination. Her extensive experience at esteemed institutions like Clove Dental and her own Center for Dental Implants & Esthetics since 2016, Dr. Singh embodies unparalleled expertise in dental implants. Boasting a wealth of 17+ years in dentistry and backed by 18 groundbreaking research papers in leading international journals (Google Scholar) and her ResearchGate profile, she epitomizes the pinnacle of proficiency and innovation in her field. She practices in Gurugram as your friendly dentist near me.